ȯÀÚ ¸ÕÀú Æ÷±âÇÏÁö ¾Ê´Â ÇÑ ³¡±îÁö µ½´Â´Ù´Â ÀÚ¼¼
ÀÌ ½Â È£
°¡¹Ì°ÇÄ¡°ú ´ëÇ¥¿øÀå
Àλý ÈĹݱ⠳ªÀÌ 50À» ³Ñ±â¸é¼ °í¸£´ø Ä¡¾Æ°¡ À§Ä¡¿¡ º¯È°¡ »ý±â¸é¼ Ä¡¿ÀÌ ÇëŬ¾îÁö°í CrowdingÀÌ ½ÉÇØÁ® º¸±â¿¡ ÈäÇÒ »Ó ¾Æ´Ï¶ó Ä¡ÁÖ»óŵµ ºü¸¥ ¼Óµµ·Î ºÒ·®ÇØÁö¸é¼ Ä¡Á¶°ñÀÇ Èí¼ö, Ä¡¾Æ»ó½Ç, °á±¹¿¡´Â ÀÓÇöõÆ® Ä¡·á¸¦ ã´Â °æ¿ì°¡ ¸¹´Ù.
±×·¯³ª ½ÇÁ¦ ÀÓ»ó Everyday practice¿¡¼´Â ´ëºÎºÐ ¹®Á¦°¡ ³ªÅ¸³ ±ÞÇÑ Àå¼Ò¿¡ ºÎºÐÀû Ä¡·á·Î¼ ÇØ°áÇÏ°í ¸¶¹«¸®ÇÏ´Â °æ¿ì°¡ ´õ ¸¹±â ¶§¹®¿¡, ÀüüÀûÀÎ ¾È¸ñÀ¸·Î º¼ ¶§´Â Á¶È¿Ï¼º¿¡ ¹ÌÄ¡Áö ¸øÇÑ ºÎÁ·ÇÑ Ä¡·á·Î¼ ¸¶¹«¸®µÇ´Â °æ¿ì°¡ ÀûÁö ¾Ê´Ù. Ä¡ÁÖÁúȯ¿¡ ´ëÇÏ¿© ¿Ã¹Ù¸¥ Ä¡·á¿Í ȯÀÚ¿¡ ´ëÇÑ Áöµµ±³À°ÀÇ ±âȸ¸¦ ³õÄ£´ÙµçÁö Ä¡Á¶°ñ ÆÄ±« ÁøÇàÀ» °£°úÇÑ´ÙµçÁö ÇÏ´Â ¹®Á¦°¡ ÈçÇÑ °ÍÀÌ Çö½ÇÀ̸ç, ±³ÇÕÀÇ ºÎÁ¶È¿¡ ´ëÇÏ¿© ÀûÀýÇÏ°Ô °³¼±ÇØÁÖÁö ¸øÇϰųª ¾Ç°üÀý ¹®Á¦¿¡ ´ëÇÑ Ã³Ä¡¸¦ Àû±â ÇÏÁö ¸øÇÏ´Â °æ¿ìµµ ÀÖ´Ù. ¹ßÀüµÈ ³ª¶ó ±¹¹Î º¹Áö¸¦ »ý°¢ÇÑ´Ù¸é, ¿ì¸® Ä¡°úÀǻ簡 ÀÌ °°Àº Çö½ÇÀ» Á» ´õ ¼±µµÀûÀ¸·Î °³¼±ÇؾßÇÒ ºÎºÐÀÌ ÀÖ´Â ÀÏÀÌ´Ù. ÀÌ¿¡ ³Ê¹«³ª ¸¹ÀÌ ´Ê¾îÁö°í ¸»¾ÒÁö¸¸, ÀÌÁ¦ Áö±ÝÀ̳ª¸¶ ½ÃÀÛÇÑ Ä¡°úÀü¹®ÀÇÁ¦µµÀÇ ¼º°øÀûÀÎ È®¸³À̶õ ´ë´ÜÈ÷ Áß¿äÇÑ Àǹ̰¡ ÀÖ´Ù°í »ý°¢ÇÑ´Ù.
ÇÊÀÚ´Â ÀÏÂïºÎÅÍ ±¸°¾Ç¾È¸é¿Ü°úÇÐ ÀÓ»ó°ú ¼øÂ÷ÀûÀ¸·Î Á¢±ÙÇÏ´Â Ä¡ÁÖÄ¡·á¸¦ ¹ÙÅÁÀ¸·Î ÁÖ·Î ¼ºÀÎÀ» ´ë»óÀ¸·Î ÇÏ´Â ÀÓ»ó±³Á¤Ä¡·á·Î¼ ¸¸Á·ÇÒ ¸¸ÇÑ °á°ú¸¦ ¾ò¾î¿Ô±â ¶§¹®¿¡, ¾ÕÀ¸·Î °³ÀÎÀûÀÎ ÀÓ»ó°æÇèÀ» °ü½É ÀÖÀ» ºÐµé°ú ³ª´©°í ÇÊ¿äÇÑ ¿¬±¸¸¦ °è¼ÓÇÒ ¼ö Àֱ⸦ Èñ¸ÁÇÑ´Ù.
¸¹Àº ºÎºÐ ºÎ¸ð·ÎºÎÅÍ ¹ÞÀº Ä¡¾Æ¸¦ ¿À·¡µµ·Ï Àß À¯Áö½ÃÄÑÁÖ°í ±â´ÉÀûÀ¸·Î´Â Ä¡ÁÖ¿Í ¾Ç°üÀý ¿¹ÈÄ¿¡ Àå±âÀû ¾ÈÁ¤¼ºÀ» º¸ÀåÇϸé¼, ±×¿Í ´õºÒ¾î ȯÀÚµéÀº ½º½º·Î ½É¹ÌÀû °³¼±È¿°ú±îÁö ÁöÁ¢ È®ÀÎÇϱ⠶§¹®¿¡ ¾ò¾îÁø °á°ú¿¡ ´ëÇÏ¿© ´ë´ÜÈ÷ ±àÁ¤ÀûÀÌ´Ù.
Ä¡·á½ÃÀÛ¿¡ ¾Õ¼¼ ¿ì¼± ÅΰüÀý¿¡ ¹®Á¦°¡ ÀÖ´ÂÁö ¿©ºÎ¸¦ Àß »ìÆìº¸°í Ä¡Á¶°ñ ÆÄ±«Á¤µµ¸¦ µûÁ®¼ ±âÃÊÄ¡ÁÖÄ¡·áºÎÅÍ ½ÃÀÛÀ» Çϴµ¥, ȯÀÚÀÇ Ä¡·áÀÇÁö¿Í ½º½º·ÎÀÇ Ä¡°úÄ¡·á ¹× ±¸°°Ç°°³¼±¿¡ ´ëÇÑ Àý½ÇÇÔÀ» ±â¹ÝÀ¸·Î º¹ÀâÇÑ Ä¡·á¸¦ ½ÃÀÛÇÑ´Ù.
»ç¿ëÇÏ´Â ±³Á¤Ä¡·á±â¼úÀº ³À̵µ¿¡ µû¶ó¼ ´õ·¯ Åõ¸í±³Á¤À¸·Î ÇØ°áÇÒ °æ¿ìµµ ÀÖÁö¸¸, ±âº»ÀûÀ¸·Î Edgewise technique, Broussard technique¿¡ Tweed-Merrifield Philosophy¸¦ µû¶ó Ä¡·á¸¦ ½ÃÀÛÇϰí ÀÖ´Ù. °æ¿ì¿¡ µû¶ó¼ ¼³Ãø ºê¶óÄÏÀ» ÀÌ¿ëÇÏ´Â µî ÃÖ½ÅÀÇ ÁøÈµÈ ¿©·¯ Ä¡·á±â¼ú°ú ÀåÄ¡µéÀ» ¼±ÅÃÀûÀ¸·Î Áõ·Ê¿¡ ¸ÂÃç¼ »ç¿ëÇÒ ¼ö Àִµ¥, ÇÊÀÚ´Â ´ëü·Î Á¦ 1, 2´ë±¸Ä¡¿¡ Band¸¦ Çϰí 022 Slot ¼øÃø ºê¶óÄÏÀ» »ç¿ëÇÑ´Ù. ±×¸®°í Anchor·Î ÀÌ¿ëÇϱâ À§Çؼ Micro-screw¸¦ »óÇÏÁÂ¿ì ±¸Ä¡ºÎ¿¡ Çϳª¾¿ 4°³ ±×¸®°í »óÇÏÁ¿ìÀüÄ¡ºÎ¿¡ 4°³ ÀüºÎ 8°³¸¦ »ç¿ëÇÏ´Â °æ¿ì°¡ ¸¹¾Ò´Ù. Ä¡ÁÖ±³Á¤¿¡ »ç¿ëÇÏ´Â Arch Wire´Â 014, 014, 018 SS round wire¸¦ ±âº»À¸·Î NiTi wire¸¦ ¾²±âµµ Çϴµ¥, ¾î´À Á¤µµ ÀüüÀû ¾ÈÁ¤ÀÌ ÀÌ·ç¾îÁö¸é Tweed ¹ý¿¡ µû¸¥ Heavy rectangular wire¸¦ ¼øÂ÷ÀûÀ¸·Î Àû¿ëÇϰí ÀÖ´Ù.
Àüüġ·á±â°£Àº º¸Åë 2³â ÀÌ»óÀ¸·Î Á¤Çϰí õõÈ÷ ÁøÇàÇϴµ¥ °¡´ÉÇÑ ¼µÑÁö ¾ÊÀ¸¸é¼ ±¸°º¸°Ç±³À°À» °Á¶ÇÏ´Â °ÍÀ¸·Î ½ÃÀÛÇØ¼ ȯÀÚ½º½º·Î ±¸°°Ç° °ü¸®´É·ÂÀ» °¡Áö°Ô Çϰí, °¢ ȯÀÚ»óÅ¿¡ µû¶ó ±âÃÊÄ¡ÁÖÄ¡·á¿¡ ÀÌ¾î ÆÇ¸·¼ö¼ú, GTR/GBR ¶Ç´Â °á¼ÕÄ¡¾ÆºÎÀ§¿¡ ÀÓÇöõÆ®¸¦ ¼³Ä¡Çϱ⵵ ÇÑ´Ù.
¿ì¸®ÀÇ Ä¡·á ¸ñÇ¥´Â ¾ðÁ¦³ª Ÿ°í³ Ä¡¾Æ¸¦ °Ç°ÇÏ°Ô ¿À·¡µµ·Ï À¯Áö½ÃÄÑ ÁÖ°íÀÚÇϴµ¥ ÀÖ´Ù. ȯÀÚ½º½º·Î ¸ÕÀú Æ÷±âÇÏÁö ¾Ê´Â ÇÑ Ä¡°úÀÇ»ç´Â ³¡±îÁö ȯÀÚ¸¦ µ½´Â´Ù´Â ÀÚ¼¼·Î Áø·á¿¡ ÀÓÇϰí, Ä¡°úÀç·á³ª µðÁöÅÐ °ü·ÃÇÏ¿© ¹ßÀüÀ» °ÅµìÇÏ´Â Å¿¿¡ ¸¹ÀÌ º¹ÀâÇØÁø Ä¡°úÀÓ»ó¿¡ ´ëÇÑ È¯ÀÚµéÀÇ ÀÌÇØ¸¦ ³ôÀ̸ç ȯÀÚ½º½º·Î È¿°úÀûÀÎ À¯Áö°ü¸®¸¦ ½ÇõÇÏ°Ô Çϴµ¥ ÀÖ´Ù.
 |
| Fig. 1: 56¼¼ ¿©ÀÚ, ¼øÂ÷Àû Ä¡ÁÖÄ¡·á¿Í ¼ö¼ú ±×¸®°í ±³Á¤Ä¡·á µî Àå±â°£ÀÇ Ä¡·á ³¡¿¡ ¾ÈÁ¤µÈ ±³ÇÕ¿¡ °í¸¥ Ä¡¾Æ¹è¿À» ´Þ¼ºÇÏ¿´°í ´ÙÀ½ ´Þ Áß¼ø°æ ÇÏ¾Ç ÀüÄ¡ºÎÀ§¿¡ ´ëÇÏ¿© BiotypeÀÇ °³¼± ¹× Ä¡±Ù Çǰ³¸¦ À§ÇÑ Mucogingival Plastic Surgery¸¦ ¿¹Á¤Çϰí ÀÖ´Ù. |
 |
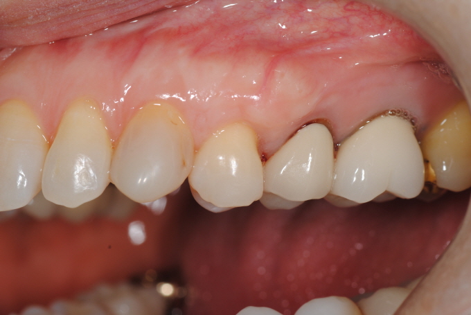
| Fig. 2: 62¼¼ ¿©ÀÚ, Àå±â°£ Ä¡ÁÖ±³Á¤Ä¡·á¸¦ ¸¶ÃÆ°í º¸Ã¶Ä¡·á¿Í ÀÓÇöõƮġ·á±îÁö ÀüºÎ ¿Ï¼ºÇÏ¿´´Ù. |
 |
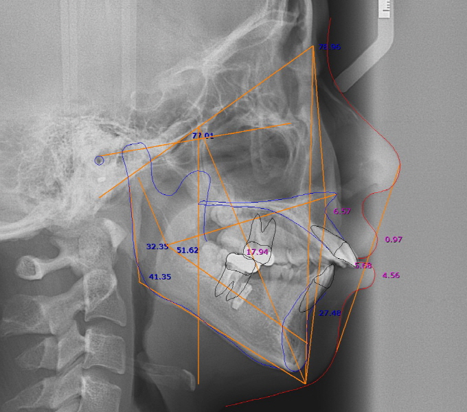
| Fig. 3: 54¼¼ ³²ÀÚ, ÀÌ È¯ÀÚ´Â ¼³Ãø±³Á¤Ä¡·á ÁßÀε¥ ³À̵µ¿¡ µû¶ó¼ Åõ¸í ±³Á¤Ä¡·á ¹æ¹ýÀ¸·Î ÇØ°áÇÒ ¼ö ÀÖ´Â Áõ·Êµµ ÀûÁö ¾Ê´Ù. |
 |
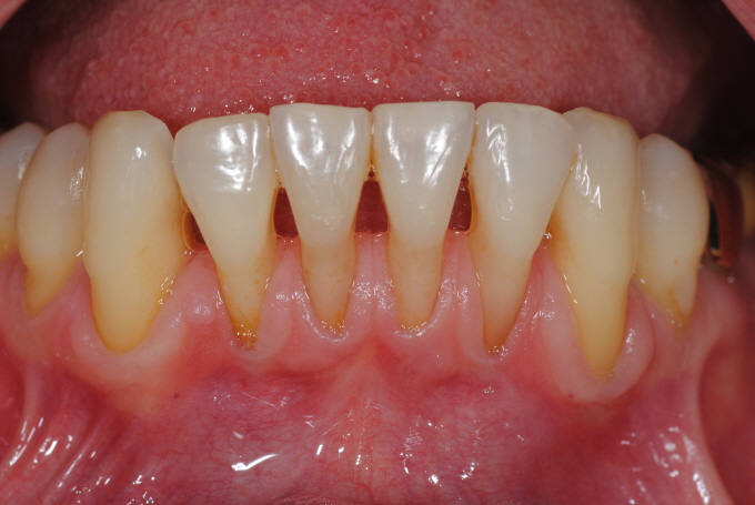
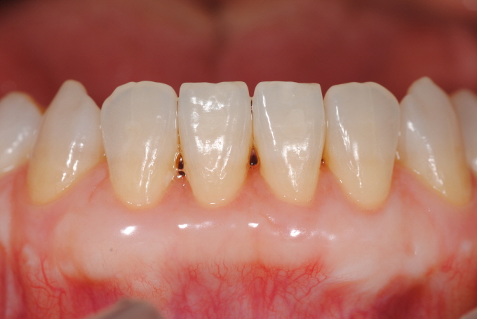
| Fig. 4&5&6: 48¼¼ ¿©ÀÚ, ¿À·£ ½Ã°£À» µé¿©¼ ±³Á¤Ä¡·á¿Í º¸Ã¶Ä¡·á¸¦ ÀüºÎ ¸¶Ãưí, ³²¾ÆÀÖ´ø Marginal migration of gum tissue with hypersensitivity ¹®Á¦¸¦ Subepithelial C.T. graft procedures ·Î¼ Àß ÇØ°áÇÒ ¼ö ÀÖ¾ú´Ù. 2016³â 1¿ù¤·ÀÏ ÇϾÇÁÂÃø Á¦ 2 ´ë±¸Ä¡ ¼³Ãø ±×¸®°í »ó¾ÇÁÂÃø Á¦ 1 ¼Ò±¸Ä¡¿¡ ´ëÇÏ¿© MG plastic surgery¸¦ ÇÏ¿´°í, ÀÌ¾î¼ 2¿ù¤·ÀÏ ÇϾÇÀüÄ¡ºÎ |
 |
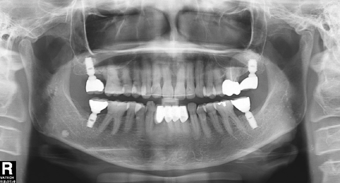
| Fig. 7&8: 30¼¼ ¿©ÀÚ, Ä¡·á ÀüÈÄ »çÁø. ¼øÂ÷ÀûÀÎ Ä¡ÁÖÄ¡·á¿Í ¼ö¼úÀ» ¸¶¹«¸® ÇÑ µÚ µ¹ÃâÀÔÀ» ±³Á¤Ä¡·á·Î¼ ÇØ°áÇÑ È¯ÀÚÀε¥ Á¦ 1¼Ò±¸Ä¡ ¹ßÄ¡ÇÏ¿´À¸¸ç ÇÏ¾Ç ÁÂÃø Á¦ 1´ë±¸Ä¡ °á¼ÕºÎÀ§¿¡´Â ÀÓÇöõÆ®°¡ ¼³Ä¡µÇ¾ú´Ù. |