°¢ÈÁ¡¸· ÀÖ´Â °æ¿ì ȯÀÚÀÇ ±¸°æ°ü¸® ¿ëÀÌ
±¸ ¿µ
¼¿ï´ë Ä¡ÀÇÇдëÇпø
Ä¡ÁÖ°úÇб³½Ç ±³¼ö
1977³â¿¡ Branemark¿¡ ÀÇÇØ óÀ½À¸·Î °ñÀ¯Âø¿¡ ´ëÇÑ Àå±â°£ÀÇ Àӻ󺸰í¿Í 1982³â Toronto Conference ÀÌ ÈÄ, 30¿©³â °£ ÀÓÇÁ¶õÆ® Ä¡°úÇÐÀº ´«ºÎ½Å ¹ßÀüÀ» °ÅµìÇØ ¿Ô´Ù. ±×·¯³ª ÀÓÇöõÆ® ½Ã¼úÀÌ ¸ðµç ȯÀÚ¿¡¼ ¸¸Á·ÇÒ ¸¸ÇÑ °á°ú·Î ³ªÅ¸³ªÁö ¾Ê´Â °æ¿ì°¡ ÀÖÀ¸¸ç, Àå±â°£ »ýÁ¸À²°ú ¼º°øÀ²À» ³ôÀ̱â À§Çؼ´Â ¼¼½ÉÇÑ °í·Á°¡ ÇÊ¿äÇÑ °Íµµ »ç½ÇÀÌ´Ù. ÀÌ ±Û¿¡¼´Â ÀÓÇöõÆ®¸¦ Àå±â°£ ¾ÈÁ¤ÀûÀ¸·Î À¯ÁöÇϱâ À§ÇØ ÇÊ¿äÇÑ ÁÖÀ§ ¿¬Á¶Á÷ÀÇ È¯°æ¿¡ ´ëÇØ »ìÆìº¸°íÀÚ ÇÑ´Ù.
ÀÚ¿¬Ä¡¿¡´Â »óÇÇ¿Í Ä¡¾Æ°¡ ¿¬°áµÇ´Â ºÎÀ§ÀÎ Ä¡¾ÆÄ¡Àº°áÇÕºÎ(dentogingival junction)°¡ Á¸ÀçÇϴµ¥, À̰÷À» ÅëÇÏ¿© ¼¼±Õ, ¼¼±ÕÀÇ µ¶¼Ò ¶Ç´Â Ç׿øµéÀÌ ¸ö ¼ÓÀ¸·Î µé¾î¿Ã »Ó ¾Æ´Ï¶ó, ¿©·¯ ¸é¿ª°ü·Ã ¼¼Æ÷µéÀÌ À̵¿ÇÏ¿© ¿ì¸® ¸öÀ» ¹æ¾îÇϱ⵵ ÇÏ´Â ¸Å¿ì ¿ªµ¿ÀûÀÎ Çö»óÀÌ ÀϾ´Â °÷ÀÌ´Ù. ¿°ÁõÀÌ ÀÖ´Â °æ¿ì´Â ÀÌ °áÇպΰ¡ ÆÄ±«µÇ¸ç, ¿Ü°úÀû ¶Ç´Â ºñ¿Ü°úÀûÀÎ Ä¡ÁÖÄ¡·á½Ã¿¡´Â ÀǵµÀûÀÎ ¼Õ»óÀ» Áֱ⵵ ÇÑ´Ù. ¾î¶² °æ¿ìÀÌ°Ç Ä¡°úÀÇ»ç´Â ÀÌ °áÇպθ¦ ¿ø·¡ÀÇ ÇØºÎÇÐÀû ±¸Á¶¿Í °¡´ÉÇÑ À¯»çÇÏ°Ô È¸º¹½ÃÄѼ ¿ì¸® ¸öÀ» ¿ÜºÎ·ÎºÎÅÍ º¸È£ÇÒ ¼ö ÀÖ°Ô ÇØ¾ßÇÑ´Ù. ÀÓÇÁ¶õÆ®ÀÇ °æ¿ìµµ ¸¶Âù°¡ÁöÀÇ ¿ªÇÒÀ» ÇÏ´Â ºÎÀ§¸¦ trnasmucosal seal ¶Ç´Â permucosal seal·Î ºÒ¸®¸ç, ÇϹæÀÇ °áÇÕÁ¶Á÷°ú Ä¡Á¶°ñÀ» º¸È£ÇÏ´Â ¿ªÇÒÀ» ÇÑ´Ù(±×¸² 1).
 |
| ±×¸² 1. Ä¡¾ÆÄ¡Àº°áÇÕºÎ¿Í transmucosal seal |
¾î´À °æ¿ìµç ÀÌ °áÇպθ¦ Àß À¯ÁöÇϱâ À§Çؼ´Â ±â´É Áß¿¡ ¿¬Á¶Á÷°ú Ä¡¾Æ»çÀÌÀǰ߰íÇÑ ºÎÂøÀÌ °¡´ÉÇÏ¿©¾ß Çϸç, À̸¦ °¡´ÉÇÏ°Ô Çϱâ À§Çؼ´Â ¹Ù·Î ¾Æ·¡¿¡ À§Ä¡ÇÑ °¢ÈÄ¡ÀºÀÌ Æ°Æ°È÷ Á¸ÀçÇÏ¿©¾ß ÇÑ´Ù(±×¸² 2).
 |
| ±×¸² 2. Á¶Á÷ÈÇÐÀû ¹æ¹ýÀ¸·Î °¢ÈÄ¡ÀºÀÇ Æø°æÀ» ¾Ë ¼ö ÀÖ´Ù. |
±×·¯³ª °¢ÈÄ¡ÀºÀÇ Çʿ伺¿¡ ´ëÇØ¼´Â ¿©·¯ ÀÌ·ÐÀÌ ÀÖ´Â °ÍÀÌ »ç½ÇÀÌ´Ù. ±×·¯³ª ÀÓ»ó°¡µéÀÇ °æÇè(empirical)»óÀ¸·Î °¢ÈÁ¡¸·ÀÌ ÀÖ´Â °æ¿ì ȯÀÚÀÇ ±¸°À§»ý°ü¸®°¡ ¿ëÀÌÇÏ°Ô µÉ »Ó ¾Æ´Ï¶ó, º¸Ã¶Á¦ÀÛ Ãø¸é¿¡¼µµ À¯¸®Çϸç, ´õ¿í Áß¿äÇÑ °ÍÀº ÀÓÇöõÆ®°¡ ±â´ÉÇÒ ¶§ ¿¬Á¶Á÷°ú ÀÓÇöõÆ®ÀÇ °áÇÕÀ» °ß°íÇÏ°Ô ÇÏ¿© À½½Ä¹° Àܻ糪 ¼¼±ÕÀÇ ÇϹæÀÌÁÖ¸¦ Â÷´ÜÇÏ°Ô ÇÏ´Â ¿ªÇÒ°ú °°Àº Áß¿äÇÑ Àǹ̰¡ ÀÖ´Ù´Â µ¥¿¡´Â ÀÏÄ¡µÈ ÀǰßÀ» º¸ÀδÙ(±×¸² 3).
 |
| ±×¸² 3. °¢ÈÁ¡¸·ÀÌ ¾ø´Â °æ¿ì ÀÓÇöõÆ® ÁÖÀ§¿°°ú °ñ¼Ò½ÇÀ» º¸À̰í ÀÖ´Ù. |
ÀÓÇöõÆ®ÀÇ ¼³ÃøÀ» ±âÁØÀ¸·Î ÇùÃø¹æÇâÀ¸·Î 5mm ÀÌ»óÀÇ °¢ÈÁ¡¸·ÀÌ ÀÖÀ» °æ¿ì´Â Ä¡ÀºÄ¡Á¶Á¡¸·(MGJ)À» ³Ñ´Â ºÎºÐÃþÆÇ¸·À» Çü¼ºÇÏ¿© ÆÇ¸·À» Ä¡±ÙÃøÀ¸·Î À̵¿ÇÏ¿© ºÀÇÕÇÏ´Â À̸¥¹Ù Ä¡±Ù´Üº¯À§ÆÇ¸·¼ú(apically positioned flap)À» Àû¿ëÇÒ ¼ö ÀÖ´Ù(±×¸² 4).
 |
| ±×¸² 4. °¢ÈÁ¡¸·ÀÌ ºÎÁ·ÇÑ °æ¿ì Ä¡±Ù´Üº¯À§ÆÇ¸·¼ú·Î °¢ÈÁ¡¸·ÀÌ Çü¼ºµÈ ¼Ò°ß |
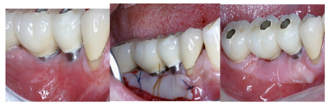
¿¬Á¶Á÷ÀÇ µÎ²²°¡ ¾ã°í(thin biotype), ÀÓÇöõÆ®ÀÇ ¼³ÃøÀ» ±âÁØÀ¸·Î 5mm ÀÌÇÏÀÇ °¢ÈÁ¡¸·À» °¡Áø °æ¿ì¶ó¸é Ä¡±Ù´Üº¯À§ÆÇ¸·¼ú°ú À¯¸®Ä¡ÀºÀ̽ļúÀ» µ¿½Ã¿¡ Àû¿ëÇÏ´Â °ÍÀÌ ±ÇÀåµÈ´Ù. À̶§ ÀÌ½ÄÆíÀÇ ¼öÃà(25-50%)À» °í·ÁÇÏ¿© ÃæºÐÇÑ Æø°æÀÇ ÀÌ½ÄÆíÀ» äÃëÇÏ´Â °ÍÀÌ ÁÁ´Ù(±×¸² 5).
 |
| ±×¸² 5. Ä¡±Ù´Üº¯À§ÆÇ¸·¼ú°ú À¯¸®Ä¡ÀºÀ̽ļúÀ» ÇÔ²² Àû¿ëÇÏ¿© °¢ÈÁ¡¸·À» Çü¼ºÇÑ ¼Ò°ß |
´Ù¾çÇÑ ¹æ¹ýÀ¸·Î °¢ÈÁ¡¸·À» Çü¼ºÇØÁÙ ¼ö ÀÖÁö¸¸, ¼ö¼ú °èȹ½Ã Á»´õ ¼¼½ÉÇÑ ÁÖÀǸ¦ ±â¿ï¿© °¢ÈÁ¶Á÷À» ÃÖ´ëÇÑ º¸Á¸ÇÏ´Â °ÍÀÌ ´õ¿í ¹Ù¶÷Á÷ÇÑ ¹æ¹ýÀÏ °ÍÀÌ´Ù.